Toggle navigation
817-232-4600
817-232-4600
Home
Dentists
Smile Gallery
Services
Financing
Insurance
FAQs
Contact Us
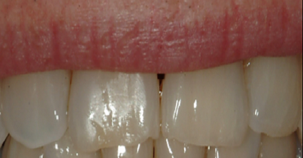
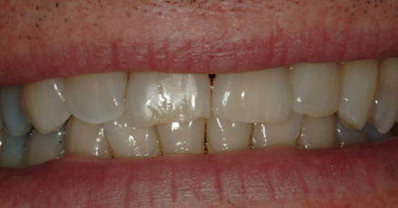
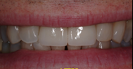
2 PORCELAIN VENEERS AND WHITENING
Patient came in with 2 chipped teeth in the front
Back to Gallery