Toggle navigation
817-232-4600
817-232-4600
Home
Dentists
Smile Gallery
Services
Financing
Insurance
FAQs
Contact Us
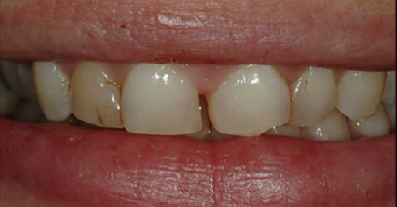
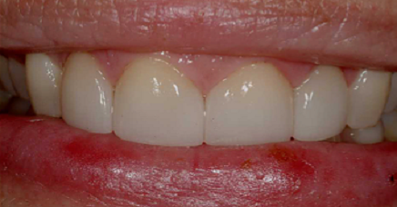
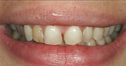
4 PORCELAIN VENEERS
This treatment had our patient wanting to
smile again!
Back to Gallery