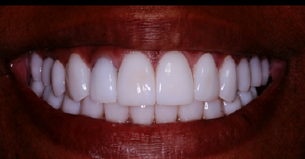
28 PORCELAIN VENEERS +
CROWNS
We created a permanent, whiter smile for a 40 year old female by
fixing a single front crown.