Toggle navigation
817-232-4600
817-232-4600
Home
Dentists
Smile Gallery
Services
Financing
Insurance
FAQs
Contact Us
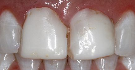
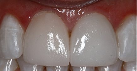
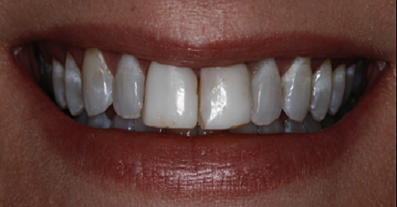
2 PORCELAIN VENEERS
Repair of a composite bonding performed 20+ years ago on front
teeth
Back to Gallery