Toggle navigation
817-232-4600
817-232-4600
Home
Dentists
Smile Gallery
Services
Financing
Insurance
FAQs
Contact Us
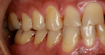
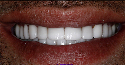
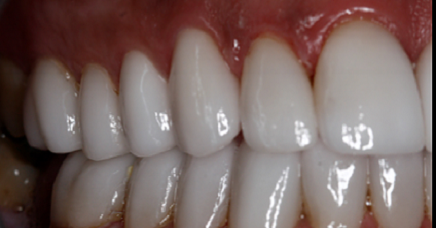
28 PORCELAIN VENEER
A true complete smile makeover that is holding strong 4 years
later.
Back to Gallery