Toggle navigation
817-232-4600
817-232-4600
Home
Dentists
Smile Gallery
Services
Financing
Insurance
FAQs
Contact Us
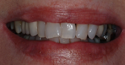
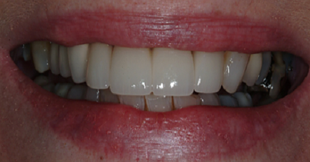
4 PORCELAIN VENEERS
Enhanced patient smile before her wedding!
Back to Gallery