Toggle navigation
817-232-4600
817-232-4600
Home
Dentists
Smile Gallery
Services
Financing
Insurance
FAQs
Contact Us
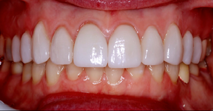
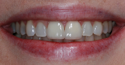
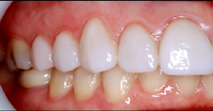
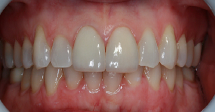
10 PORCELAIN VENEERS
2 front, unmatched veneers replaced to create a complete and
whiter smile
Back to Gallery