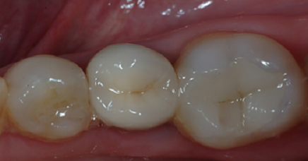
SAME DAY ALL PROCELAIN CROWNS AND
BONDED COMPOSITE RESTORATIONS
We restored patient's failing silver fillings.