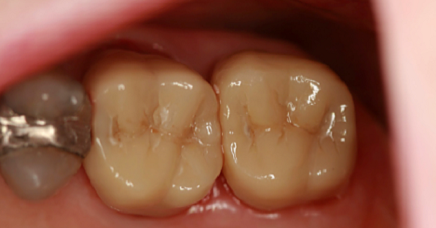
ALL PROCELAIN CROWNS


We restored patient's 2 upper left molars with failing, cracked

silver fillings

Before
After