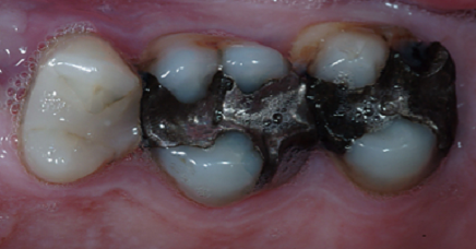
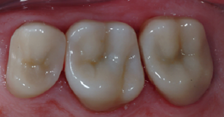
ALL PROCELAIN CROWNS


We restored patient's 3 upper left back teeth with failing, leaking

restorations. After photo was taken 3 years after the procedure.

Before
After