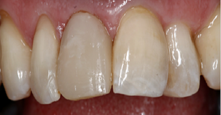
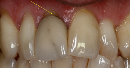
NATURAL LOOKING


PROCELAIN CROWN

We restored patient's front, failing crown with a more natural

restoration.

Before
After