Toggle navigation
817-232-4600
817-232-4600
Home
Dentists
Smile Gallery
Services
Financing
Insurance
FAQs
Contact Us
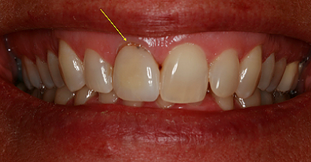
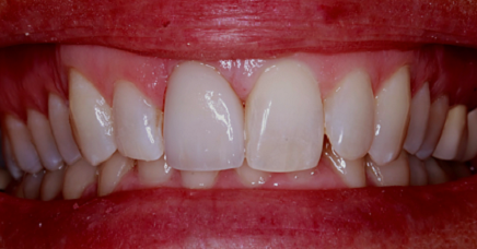
SMILE PROCELAIN CROWN
We restored patient's front decaying crown with a more natural
restoration.
Back to Gallery