Toggle navigation
817-232-4600
817-232-4600
Home
Dentists
Smile Gallery
Services
Financing
Insurance
FAQs
Contact Us
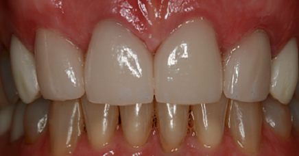
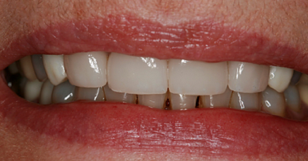
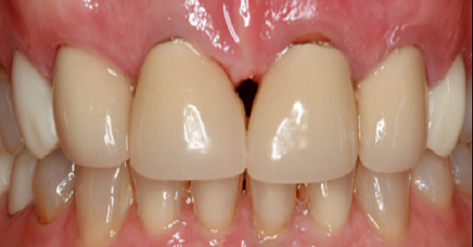
20 ALL PROCELAIN CROWNS
We restored 20 year old crowns that started to fail.
Back to Gallery