Toggle navigation
817-232-4600
817-232-4600
Home
Dentists
Smile Gallery
Services
Financing
Insurance
FAQs
Contact Us
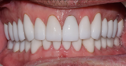
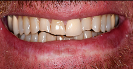
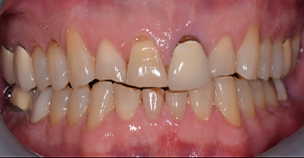
UPPER AND LOWER
PROCELAIN CROWNS
We restored tooth damage that was caused from severe grinding
Back to Gallery