Toggle navigation
817-232-4600
817-232-4600
Home
Dentists
Smile Gallery
Services
Financing
Insurance
FAQs
Contact Us
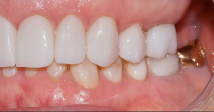
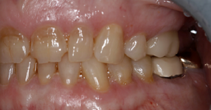
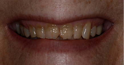
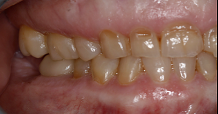
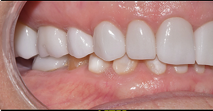
10 PORCELAIN CROWNS
We restored patient's short and discolored upper teeth.
Back to Gallery