Toggle navigation
817-232-4600
817-232-4600
Home
Dentists
Smile Gallery
Services
Financing
Insurance
FAQs
Contact Us
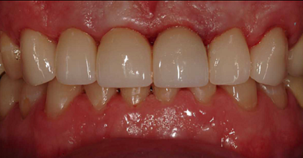
6 ALL PROCELAIN
CROWNS
We restored patient's smile with a strong porcelain restoration.
Back to Gallery