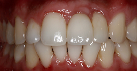
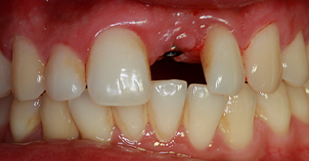
DENTAL IMPLANTS +
PORCELAIN CROWN
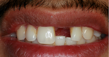
We restored front tooth after patient lost his tooth from on-job
accident.