Toggle navigation
817-232-4600
817-232-4600
Home
Dentists
Smile Gallery
Services
Financing
Insurance
FAQs
Contact Us
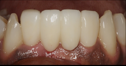
4-TOOTH ALL PORCELAIN BRIDGE
We restored 2 teeth lost to bone loss.
Back to Gallery