Toggle navigation
817-232-4600
817-232-4600
Home
Dentists
Smile Gallery
Services
Financing
Insurance
FAQs
Contact Us
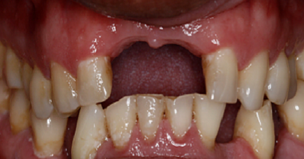
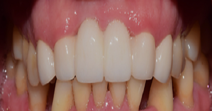
6 TOOTH ALL PORCELAIN CROWNS
We helped a father want to smile again in front of his children.
Back to Gallery