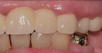
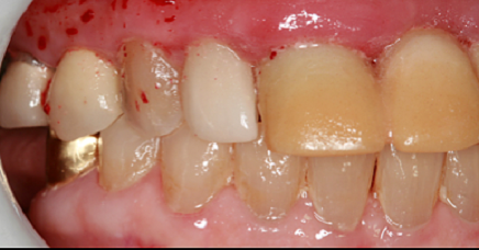
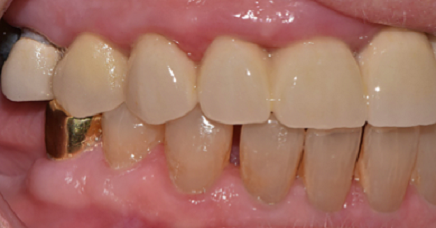
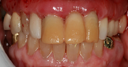
ALL PORCELAIN BRIDGE
We helped our 83 year old patient restore her smile and still
doing well 4 years later.