Toggle navigation
817-232-4600
817-232-4600
Home
Dentists
Smile Gallery
Services
Financing
Insurance
FAQs
Contact Us
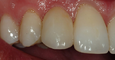
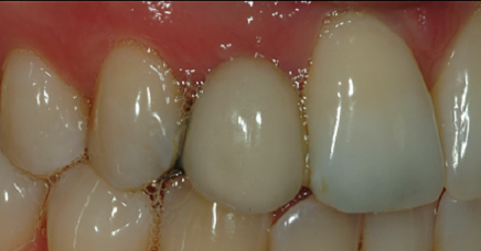
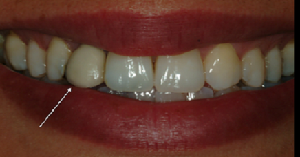
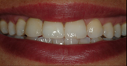
FRONT RIGHT MARYLAND
BRIDGE
We whitened patient's teeth before placing new bridge.
Back to Gallery